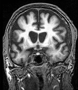
NBA PHOTO Huntington’s Disease Has Been Treated Successfully For The First Time In A Gene Therapy Trial by NBATitleChase • September 25, 2025 • Comments Off on PHOTO Huntington’s Disease Has Been Treated Successfully For The First Time In A Gene Therapy Trial Huntington’s Disease Has Been Treated Successfully For The First Time In A Gene Therapy Trial.